Twój nowyuśmiechz Invisalign®

Nakładki Invisalign®

Na czym polega leczenie nakładkami?

Leczenie systemem Invisalign to nowoczesna, komfortowa i niemal niewidoczna metoda prostowania zębów. Zamiast tradycyjnych zamków i drutów pacjent otrzymuje serię indywidualnie zaprojektowanych, przezroczystych nakładek, które stopniowo i precyzyjnie przesuwają zęby do zaplanowanej pozycji.

Każda nakładka jest tworzona na podstawie cyfrowego skanu zębów oraz szczegółowego planu leczenia. Dzięki temu cały proces jest przewidywalny, kontrolowany i dopasowany do potrzeb konkretnego pacjenta.

Aldent

Kroki do pięknego uśmiechu

Konsultacja z cyfrową wizualizacją uśmiechu
Aldent

1.Konsultacja

Sprawdzimy, czy kwalifikujesz się do leczenia i przedstawimy najlepsze rozwiązanie.

Aldent

2.Skan

Dzięki naszemu cyfrowemu skanerowi zobaczysz symulację
3D swojego nowego uśmiechu.

Aldent

3.Start

Podczas noszenia nakładek Twoje zęby będą powoli przesuwać się do ostatecznej pozycji.

Aldent

4.Transformacja

Jesteś gotowy, aby odsłonić swój nowy, prosty uśmiech. Nakładki retencyjne pozwolą utrzymać efekt

Twój spersonalizowany plan leczenia

Wizualizacja i szczegółowy, indywidualny Clin Check

Dr Małgorzata oceni Twój uśmiech i stworzy szczegółowy cyfrowy plan leczenia (Clin Check), dostosowany do Twoich indywidualnych potrzeb.

Zadaniem Clin Check (cyfrowego planu leczenia)  jest stopniowa transformacja Twojego uśmiechu. Profesjonalne skanowanie 3D pozwala uzyskać precyzyjną wizualizację przebiegu leczenia z efektami. Wszystkie nasze kliniki mają system cyfrowego projektowania uśmiechu, dzięki czemu już na pierwszej wizycie możliwe jest zobaczenie tego, jak Twój nowy uśmiech prezentuje się  z Twoją twarzą.

Aldent

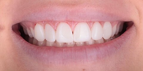
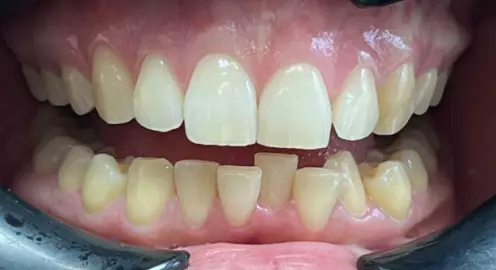
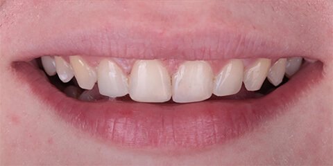
Metamorfozy uśmiechu

Zobacz efekty, jakie daje leczenie nakładkami Invisalign®
Aldent
Aldent
Aldent
Aldent
Aldent
Aldent
Aldent
Aldent
Aldent
Aldent
Aldent
Aldent

Umów się na konsultację do certyfikowanego lekarza Invisalign®

Zapewniamy specjalistyczną pomoc oraz nakładki najwyższej jakości

Twoje indywidualne nakładki Invisalign®

Nakładki wykonane specjalnie dla Ciebie
Aldent

Po zaakceptowaniu planu leczenia, zajmujemy się zrealizowaniem Twoich indywidualnie dobranych nakładek. Przy kolejnej wizycie dostarczymy Ci cały komplet wraz z ekskluzywnym i indywidualnym etui do ich przechowywania.

W kolejnym etapie przedstawimy Ci cały przebieg i proces zmiany nakładek na kolejne. Jest to niezwykle ważna część leczenia Invisalign®. Każdą parę należy nosić przez 22 godziny dziennie, co oznacza, że spędzasz z nimi większość dnia. Na szczęście, zmiana nakładek jest prostym procesem i powinna odbywać się co ok 1–2 tygodnie. Wszystko zgodnie z zaleceniami naszego lekarza. A jeśli masz jakieś wątpliwości lub pytania, nasz opiekun pacjenta jest do Twojej dyspozycji przez 7 dni w tygodniu. Razem przejdziemy przez cały proces leczenia, a Ty z pewnością osiągniesz zdumiewające efekty!

Aldent

Zadaniem każdej pary nakładek jest delikatne i stopniowe korygowanie ustawienia zębów do momentu aż uśmiech stanie się piękny, a zęby proste.

Na cały proces leczenia każdemu pacjentowi dostarczamy komplet nakładek. Wizyty kontrolne są nieodłącznym elementem leczenia ortodontycznego i odbywają się co około 8 tygodni (wszystko zależy od indywidualnego planu leczenia).

 

Opinie o naszej klinice

Google
Google

Angelika Borzęcka

miesiąc temu Google

Jestem bardzo zadowolona z obsługi w Aldent .
Personel bardzo pomocny ,kompetentny ,miły .
Czułam, że jestem w dobrych rękach.
Wszystko sprawnie , wychodzę z pięknym uśmiechem , będę wszystkim polecać 😉

Google

Barbara Zawadzka

2 miesiące temu Google

W klinice ALDENT korzystałam z usług ortodontycznych (leczenie nakładkowy Invisalign)
Polecam, pełen profesjonalizm oraz cudowna opieka. Pozdrawiam cały zespół.

Google

Aneta Bancarzewska

2 miesiące temu Google

Jest to miejsce, gdzie profesjonalne podejście i fachowa obsługa przywraca uśmiech, którym chce się dzielić z całym światem. Z całego serca dziękuję za metamorfozę uśmiechu całemu personelowi, a przede wszystkim przepięknej i profesjonalnej Pani Doktor Malgorzacie. Z całego serca polecam Aldent. Dzięki Wam przez życie idzie się z uśmiechem na ustach.

Google

Julia Rudnicka

3 miesiące temu Google

Jestem bardzo zadowolona z usług świadczonych przez ALDENT. Personel jest wyjątkowo kompetentny i przyjazny, co pomaga zniwelować stres związany z wizytą u dentysty.
Będąc już na fotelu Pani Doktor starała się wyjaśnić krok po kroku każdy etap leczenia, przez co czułam się zdecydowanie bardziej pewnie.
Co do kwestii gabinetów, to są one bardzo dobrze wyposażone. Widać że sprzęt jest nowoczesny i zadbany.
Szczególnie zwracam uwagę na kwestię higieny w gabinetach dentystycznych i w tej kategorii śmiało mogłabym dać 5 gwiazdek.
Gorąco polecam ten gabinet każdemu kto szuka profesjonalnej opieki dla siebie i swojej rodziny.

Google

Karol Majewski

3 miesiące temu Google

Z wizyty w klinice wyszedłem bardzo zadowolony. Klinika Aldent wygląda bardzo profesjonalnie i zadbanie, a wnętrze jest przytulne i komfortowe. Od samego progu jest się mile przyjętym przez Panie w recepcji, a później można liczyć na wiedzę i zaangażowanie lekarza. Gorąco polecam tę klinikę, z pewnością tu wrócę w razie potrzeby.

Google

Agnieszka Jurkowska

3 miesiące temu Google

Korzystam z usług Aldent już od kilku lat i do tej pory jestem bardzo zadowolona. Pracujący tam Doktorzy są fachowcami w swojej branży i zawsze potrafią znaleźć najlepsze rozwiązanie dla klienta.
Personel jest miły i pomocny, potrafią zadbać o dobre samopoczucie klienta i wyjaśniają każdy etap leczenia.
Co do gabinetów, to ich wyposażenie jest nowoczesne, a atmosfera w środku jest przyjazna – co jest istotne przy wizytach z małymi dziećmi. Mogę z czystym sumieniem polecić Aldent każdemu kto szuka wysokiej jakości usług stomatologicznych.

Google

Monika Bojarczuk

3 miesiące temu Google

Jestem bardzo zadowolona z opieki w klinice Aldent. Zespół działa jak w „Ulu”. Na czele którego stoi Królowa Pani Małgorzata. To i tak skromne określenie dla tak wspaniałego stomatologa. Zawsze byłam punktualnie i miło przyjęta. Zabiegi dokładne, delikatna i precyzują praca Pani Małgorzaty sprawiła ze dziś odzyskałam swój Zdrowy i Piękny Uśmiech. Dziekuje raz jeszcze. Do zobaczenia 🙂

Google

Fotix

4 miesiące temu Google

Polecam leczenie ortodontyczne nakładkami Invisalign !!! Super efekt!!! Pozdrowienia dla całej załogi Aldent 🙂

Google

Katarzyna Piskorska

4 miesiące temu Google

Bardzo polecam.
W klinice Aldent rozpoczęłam leczenie nakladkowe pół roku temu. Jestem bardzo zadowolona. Leczenie przebiegło szybko, bezprobemowo i bardzo komfortowo.
Właśnie dziś ściągnęłam ostatnią nakładkę z ostatniego kompletu i została mi przyklejona retencja. Jestem pod wielkim wrażeniem efektu leczenia. Doktor Paradowska jest najlepsza, a cała załoga niezastąpiona. Jeśli mam wybierać to tylko i wyłącznie wybiorę to miejsce!! Pozdrawiam😘😘😘

FAQ

Najczęściej zadawane pytania
Jak najlepiej czyścić nakładki?
Czy leczenie aparatem Invisalign® boli?
Czy można pić w nakładach?
Jak często należy zakładać nakładki?
Czy podczas leczenia Invisalign występują ograniczenia dietetyczne?
Czy leczenie Systemem Invisalign jest dla mnie odpowiednie?
Aldent

Certyfikowany lekarz Invisalign®

Dr. n. med. Małgorzata Majewska-Paradowska – założycielka Centrum Stomatologii Kompleksowej i Implantologii ALDENT i twórca naszego unikalnego podejścia do leczenia, jest jednym z czołowych certyfikowanych lekarzy Invisalign. Dzięki ponad 20-letniemu doświadczeniu dr Dr. n. med. Małgorzata Majewska-Paradowska stworzyła tysiące, pięknych uśmiechów za pomocą Invisalign. Nasze kliniki znajdują się w 3 lokalizacjach na terenie Lublina i są w pełni wyposażone w najnowszą, cyfrową technologię stomatologiczną, aby każdy z uśmiechów był piękny i zdrowy.

Dlaczego warto zainwestować w leczenie nakładkami Invisalign®?

Sprawdź, jakie są zalety leczenia nakładkami.

Leczenie ortodontyczne bezbarwnymi nakładkami zrewolucjonizowało świat stomatologii. Posiada ono wiele zalet:

  • Estetyka – nakładki są niemal niewidoczne, ponieważ wykonane są z całkowicie bezbarwnego materiału
  • Brak metalowych elementów: zamków i łuków
  • Komfort noszenia – przykładane są mniejsze siły niż przy standardowym aparacie, co czyni go bezbolesnym
  • Rzadkie wizyty kontrolne – wizyta co ok. 8 tygodni
  • Wizualizacja efektów już na pierwszej wizycie dzięki skanowaniu zębów i cyfrowemu planowaniu leczenia
  • Higiena – nakładki można w każdej chwili wyjąć
  • Czas trwania leczenia – krótszy niż przy standardowym aparacie
  • Brak wyrzeczeń w diecie – nie musisz się zastanawiać, co możesz jeść, a czego nie
  • Brak ograniczeń w kwestii uprawianych sportów, brak obaw o uszkodzenie aparatu i jamy ustnej
  • Leczenie możliwe również dla pacjentów z zagranicy

 

Badania kliniczne wykazały skuteczność w leczeniu wad zębowych i zgryzowych od lekkich po bardziej skomplikowane. Nasz w pełni wykwalifikowany personel gwarantuje pełną satysfakcję i zadowolenie z efektu końcowego leczenia nakładkami Invisalign®.

Umów się na konsultację do certyfikowanego lekarza Invisalign®

Zapewniamy specjalistyczną pomoc oraz nakładki najwyższej jakości
Aldent